Patient Resources

NEW PATIENT MEDICAL HISTORY FORM

Complete your medical history prior to your appointment.

YOUR BRACES

Dos and don’ts, cleaning, diet and check-ups. Click below for all the information.

CLEAR ALIGNERS

We tell you all you need to know about your clear aligner treatment.

Starting out with your CTB is a new experience. Check out our useful tips to help you.

YOUR CTB (CLARK TWIN BLOCK)

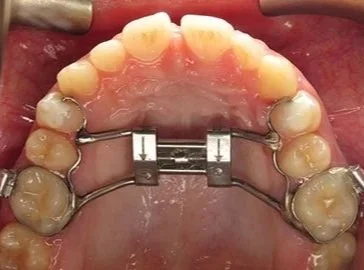
RME (RAPID MAXILLARY EXPANDER)

All you need to know about your maxillary expander.

Caring for your smile after treatment is one of the most important parts of the orthodontic process. You can find some important information below.

AFTER TREATMENT